Dr. Héctor Parra Lomelí

Médico Nefrólogo
DGP 6346575 - Ced. Esp. 10031204
Maestría en Ciencias Médicas Ced. Prof. 11803484
Doctorado en Ciencias Médicas Ced. Prof. 14896032

(312) 688 2102 Colima
(341) 167 0224 Cd. Guzmán
(313) 151 9215 Tecomán
33 1074 1686 Emergencias

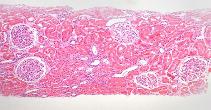
Biopsia Renal

La biopsia renal es el procedimiento mediante el cual se obtiene uno o varios pequeños fragmentos de tejido renal para su estudio. Estos fragmentos son procesados y teñidos con técnicas especiales en un laboratorio de patología. Su análisis microscópico permite identificar y clasificar las distintas afecciones renales. Igualmente puede identificar factores pronósticos en algunas enfermedades.

Para el procedimiento se requiere de 12 a 24 horas de hospitalización. El paciente debe guardar ayuno de al menos 6 horas. Se realiza una limpieza exhaustiva de la región lumbar y se infiltra un anestésico local. Bajo guía ultrasonográfica en tiempo real, se avanza una aguja automática hasta el riñón y se toma la muestra. El uso del ultrasonido permite en todo momento una identificación precisa de la localización de la aguja en relación al riñón, reduciendo así la probabilidad de una complicación como hematomas capsulares, sangrado por la orina y en muy raras ocasiones transfusiones sanguíneas entre otros. Es conveniente comentar detalladamente los riesgos y los beneficios con su médico antes del procedimiento.
Open chat
Hola
Estoy aquí para ayudarte por whatsapp ahora mismo.